≥ 92% of participants will know how to recognize the signs and symptoms of pulmonary embolisms (PE).

CEUFast, Inc. is accredited as a provider of nursing continuing professional development by the American Nurses Credentialing Center's Commission on Accreditation. ANCC Provider number #P0274.
CEUFast, Inc. is an AOTA Provider of professional development, Course approval ID #9719. This distant learning-independent format is offered at 0.2 CEUs Intermediate, Categories: OT Foundational Knowledge AOTA does not endorse specific course content, products, or clinical procedures. AOTA provider number 9757.
≥ 92% of participants will know how to recognize the signs and symptoms of pulmonary embolisms (PE).
Upon completion of this course, the participant will be able to meet the following objectives:
A pulmonary embolism (PE) is a frightening and potentially fatal diagnosis. For reference, it is important to differentiate between venous thromboembolism (VTE), deep vein thrombosis (DVT), and PE.
DVT: A DVT is a blood clot that forms within the body's deep veins, often occurring in the lower extremities. The cerebral and mesenteric veins and the upper extremities can also be affected (Waheed et al., 2023).
VTE: VTE refers to a thromboembolic event encompassing a DVT, PE, or both (Waheed et al., 2023).

Blood Clot
The worldwide disease burden caused by PE is significant. Nearly one million individuals in the United States are affected by PE each year, with 30% dying within one month of the diagnosis (American Lung Association, 2023). Over 30% of individuals have a PE reoccurrence within ten years (Centers for Disease Control and Prevention [CDC], 2023a). Medical costs for PE are patient-dependent, but it is not uncommon for a PE diagnosis to cost up to $20,000 per patient; this averages to $10 billion yearly for our nation (CDC, 2023b).
PE is a dangerous and frightening diagnosis that deserves prompt attention and awareness to prevent morbidity and mortality.
In order to prevent the potentially devastating effects of PE, it is pertinent to differentiate between the various types.
Acute: An acute PE develops suddenly, and symptoms develop rapidly. It is often the most serious form of PE and must be addressed and treated quickly to prevent fatalities (Morrone & Morrone, 2018).
Subacute: A subacute PE develops gradually, with symptoms often developing over two to 12 weeks. Because of the progressively developing symptoms, subacute PE can be difficult to diagnose as many patients delay treatment. The difficulty in diagnosis leads to higher mortality rates in subacute PE versus acute PE (Solanki et al., 2020).
Beyond these categories, PE can be classified into stable versus unstable.
Hemodynamically stable PE: Patients diagnosed with a hemodynamically stable PE will have symptoms ranging from asymptomatic to moderately symptomatic. Patients with this type of diagnosis are usually classified as low to intermediate risk. Most patients with presenting PE symptoms are classified as hemodynamically stable (Vyas & Goyal, 2022; Weinberg & Rali, 2023).
Hemodynamically unstable PE: Hemodynamically unstable PE usually presents with severe symptoms that result in instability. Cardiac resuscitation may be necessary for patients with this diagnosis. Patients are often considered high-risk, requiring prompt intervention to prevent fatalities (Vyas & Goyal, 2022; Weinberg & Rali, 2023).
Though these are the major PE categories, further types exist. For example, some patients may be diagnosed with saddle PE. In this instance, the PE is considered intermediate or high-risk and often lodges in the bifurcation of the main pulmonary artery (Bull & Hountras, 2023b). Though rare, they can cause life-threatening complications.
The true incidence of PE is unknown, as some cases go undiagnosed or misdiagnosed, or they are only diagnosed if an autopsy is performed. Besides the above statistics, almost a third of hospitalized patients are at risk of developing PE.
PE is more likely to occur in older adults.
There is no sound evidence when comparing the incidence of PE in males versus females. However, an analysis of PE cases between 1979 and 1998 revealed that PE was 30% likely to occur and cause fatalities in males. The analysis also indicated that African Americans have mortality rates 50% higher than Caucasians. Mortality rates in Caucasians were 50% higher than in Asian and American Indian races (Horlander et al., 2003).
Risk factors for PE can be separated into inherited and acquired. Inherited risk factors are passed through families via genes.
Risk factors can further be divided into minor and major risk factors.
Minor risk factors include hypertension, oral contraception use, obesity, sitting for long periods (traveling), chronic dialysis, and inflammatory bowel disease.
Major risk factors include major surgeries, such as of the abdomen or knee, late pregnancies, metastatic cancer, geriatric care, and a prior history of VTE (Bĕlohlávek et al., 2013).
The pathogenesis of PE depends on the type of PE the patient is diagnosed with.
In a thromboembolic event, a DVT dislodges or detaches, travels through the veins, and occludes one or more pulmonary arteries. The place where the PE lodges, the size of the PE, and the quantity, if there is more than one, determines the signs and symptoms.

Thrombosis
Nonthrombotic sources of PE include foreign bodies, fat, air, infected materials or cells, and tumors (Bull & Hountras, 2023a). There are other less common sources of PE.
Foreign body embolism results when foreign matter enters the pulmonary system, usually via injection, such as with heroin use.
A fat embolism occurs when bone marrow (fat) is introduced systemically, often from orthopedic procedures or long bone fractures. Patients may experience symptoms comparable to acute respiratory distress syndrome when there is a fat embolus.
When infected material enters the lungs, a septic embolism may result. Intravenous (IV) drug use and some forms of carditis may cause a septic embolism with signs and symptoms similar to pneumonia.
A tumor embolism, though rare, is a direct complication of cancer. This form of embolism occurs when neoplastic cells enter the pulmonary arterial system and impede blood flow (Bull & Hountras, 2023a).
Signs and symptoms of PE are dependent on the type and size of the clot. Because of the increased risk of mortality, promptly recognizing the symptoms associated with PE is pertinent.
Up to 30% of patients with acute PE will present with sudden death. The risk of sudden death with PE increases with comorbid conditions and major risk factors. Studies have shown that PE should be expected in sudden death when there is a non-shockable rhythm.
Acute PE may also present as respiratory failure with symptoms such as hypocapnia and hypoxia. However, it may be increasingly difficult to recognize PE in patients with a history of respiratory conditions, such as chronic obstructive pulmonary disease. Even scans and imaging may not show evidence of PE in patients with respiratory conditions, as these conditions have caused pulmonary changes.
PE is also known to induce asthmatic symptoms, making this condition difficult to diagnose in patients with a history of asthma. Breathlessness can occur acutely and gradually progress to sluggishness within a few days. Other signs, similar to asthma, include a widespread wheeze, difficulty finishing sentences, and tachypnea (Morrone & Morrone, 2018).
Patients with a massive PE present with symptoms of shock that may include tachycardia, tachypnea, hypotension, and a pale and weak appearance. They may also experience pulmonary hypertension, as evidenced by a loud systolic murmur, a right ventricular s3 gallop, and a palpable impulse at the second left intercostal space (Ouellette, 2020).
A complete and thorough history should be taken to determine the potential probability or likelihood of a PE.
Healthcare providers should assess risk factors, such as pregnancy, cancer, stroke, obesity, varicose veins, a history of VTE, and any other inherited or acquired risk factors discussed above.
Potential triggers of PE should also be assessed. Triggers can include the following:
If patients have a past medical history of VTE, it is important to determine the age when the event occurred and the location of the VTE.
It is pertinent to assess for a past history of diseases that increase the probability of PE, such as polycythemia vera, collagen vascular disease, heart failure, atherosclerosis, and autoimmune diseases.
Of note, certain medications can increase the likelihood of PE. Glucocorticoids, tamoxifen, phenothiazine-derived medications, and hydralazine can increase the risk of PE development (Anderson & Spencer, 2003; Torbicki et al., 2008).
Though symptoms may lead to a PE diagnosis, it is crucial to obtain diagnostics and imaging to ensure the appropriate diagnosis is made. Many diagnostic tools can be used to support a PE diagnosis.
Depending on the severity of PE, including the size and location, vital signs may be abnormal. If vital signs are abnormal, the most affected are heart and respiratory rate and oxygen saturation. The heart rate is often > 100 beats per minute (bpm), and the oxygen saturation may be below 95% (Cakal, n.d.). The respiratory rate may also be increased, at times, significantly.
Beyond reviewing vital signs, blood samples should be taken to perform laboratory (lab) tests to assist with diagnosing and determining the PE's severity.
D-dimer: A D-dimer is one of the most common lab tests reviewed with a PE. This dimer is produced by plasmin, and the level is usually low in our bodies. D-dimer can increase in many conditions, such as heart disease and inflammation. However, an elevated d-dimer can also indicate PE (Gao et al., 2018). Because of false positives and negatives associated with this test, other diagnostic tests should be employed to ensure an accurate diagnosis is made.
Arterial blood gas (ABG): Because ventilation and alveolar perfusion are affected in PE, hypoxemia and hypocapnia occur. Therefore, an ABG may be measured to help support the diagnosis of PE. It should not be used alone as a diagnostic measure (Gharib et al., 2016; Maloba & Hogg, 2005).
| pH | 7.35-7.45 |
| PaO2 | 35-45 mmHg |
| PaCO2 | 35-45 mmHg |
| HCO3 | 22-26 meq/L |
| SaO2 | 95-100% |
| Base excess/deficit | -4 to +2 |
| (Castro et al., 2022) | |
With hypoxemia and hypocapnia, the patient usually experiences respiratory alkalosis. If hemodynamically unstable, mixed acidosis may be present. In respiratory alkalosis, the pH will usually be above the threshold (> 7.45), and the PaCO2 will be below the normal range (< 35 millimeters of mercury [mmHg]). It is not uncommon to see patients with a PaO2 > 85 mmHg (Castro et al., 2022).
Brain natriuretic peptide (BNP): Because of the physiological process and symptoms of PE, the right ventricle becomes stressed. Therefore, reviewing cardiac lab tests may be useful in diagnosing PE (Bi et al., 2021). BNP levels are considered normal when < 100 picograms per milliliter (pg/mL). N-terminal pro-b-type natriuretic peptide (NT-proBNP) can also support a PE diagnosis. NT-proBNP is considered normal in patients under 75 years of age when it is < 125 pg/mL and when it is < 450 pg/mL in patients over 75 years of age. When BNP and/or NT-proBNP levels are increased, there is a heightened risk of death occurring in the short-term future; high levels can be indicative of an impending adverse effect. However, these tests should not be used alone for diagnosing PE but in conjunction with other supportive diagnostic measures (Corteville et al., 2007).
Troponin: Another cardiac biomarker often used to help diagnose PE is troponin; troponin T (TnT) and troponin I (TnI) are often drawn in patients with PE symptoms.
Different scans can be performed to detect PE, some more sensitive and specific than others.
Chest x-ray (CXR): A CXR is not diagnostic in the case of PE as it is nonspecific and because blood clots are not visible on CXRs. However, a CXR is often performed to rule out other diagnoses, such as pneumonia (National Blood Clot Alliance, 2018).
Ventilation-perfusion (VQ) scan: This scan is performed to assist with diagnosing PE by reviewing and measuring blood and air flow distribution in the lungs. Though some studies have questioned its efficacy, it is often used to assess the probability of PE in patients who are unable to tolerate contrast, such as with severe renal insufficiency. Generally, the scan takes at least 30-45 minutes, addressing ventilation and perfusion using radioactive components.
The VQ ratio is considered normal when it is 0.8, which is derived from a ratio of normal ventilation (4 liters [L] of air per minute) and normal perfusion (5 L of blood per minute). A high VQ score indicates that ventilation exceeds perfusion. One common cause of a high VQ score is when blood flow is impeded in the lungs, such as with PE. A low VQ score indicates that perfusion exceeds ventilation. A low VQ score could also indicate PE if over-perfusion occurs as blood flow is being diverted from the affected region (Mirza & Hashmi, 2023).
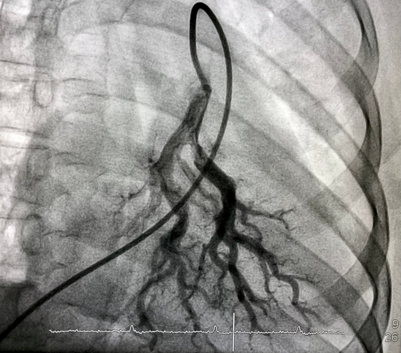
Computed tomography pulmonary angiogram (CPTA): Often, a CPTA is the preferred imaging source when aiming to diagnose PE. It appears to be cost-effective, minimally invasive, and often readily accessible. However, they are usually contraindicated in pregnancy (Moore et al., 2018).

Pulmonary Angiography
CPTA has high sensitivity, and now that the imaging technique has had modifications, the amount of false negatives is low. If a CPTA is positive, often, no further tests are performed, and treatment for PE is initiated (Doğan et al., 2015).
Magnetic resonance angiography (MRA): MRA, sometimes termed pulmonary contrast-enhanced MRA (CE-MRA), is a newer option for patients suspected of having PE. Many providers use CE-MRA over CPTA because it does not expose patients to radiation. However, it may work best in patients with a lower suspicion of PE and females < 35 years old.
Various studies have found that CE-MRA may not be as sensitive when the PE is smaller than one centimeter (cm); however, sensitivity increases when the PE is larger.
When a filling defect is noted on a CE-MRA, it indicates PE.
Ultrasound and echocardiogram: This form of diagnostic testing may often be called a point-of-care cardiac ultrasound or POCCUS (Myers et al., 2017). Though it is not the gold standard, ultrasound may be used in the diagnosis of PE as it may identify right ventricle strain, often seen in PE. However, other criteria should be used to ensure an accurate diagnosis because right ventricle strain can be seen in various conditions, such as pleural effusion.
Typically, pulmonary consolidation is present with a round-shaped or wedge-shaped area (Zhu & Ma, 2017).
An echocardiogram, a type of ultrasound scan, can also be performed for early risk stratification for PE. Findings such as right ventricle overload and right systolic dysfunction can help healthcare providers diagnose PE (Oh & Park, 2023).
Electrocardiogram (EKG): An EKG or ECG is a standard procedure for many conditions, and PE is no exception.

Sinus Tachycardia
There are more findings on an EKG that may indicate PE. For example, the McGinn-White Sign may be seen in a small subset of patients. The McGinn-White sign, also known as the S1Q3T3 pattern, is characterized by a large S wave in lead 1, a Q wave in lead III, and a late inverted T wave in lead III (Healio, n.d.). Even though this sign is considered classic in PE, an EKG is not near specific or sensitive enough to be the only diagnostic test used. In fact, around 18% of patients with PE have a normal EKG result (Burns & Buttner, 2021).
A couple of popular risk stratification scores are used to determine the probability of PE.
Wells score: This test, developed in 1998, aims to clinically predict and classify patients suspected of having PE into risk categories.
It was originally developed to guide the type of diagnostic imaging, such as VQ scanning or angiography, to ensure an accurate diagnosis. An algorithm was used with the first version of the scale, and patients were classified with a low, moderate, or high probability. When healthcare providers started using d-dimers more frequently, the score was revised. Now, patients are classified into either two groups, including low versus high risk, or three groups, including low, moderate, or high risk (Wells et al., 1998; Wells et al., 2000).
The criteria for the Wells score include the following (van Belle et al., 2006):
If using the simplified or modified version, the patient is classified into two groups, including the following (van Belle et al., 2006):
Geneva score: The Geneva score is another prediction tool utilized in assessing the probability of PE in patients. There is the original Geneva score, the revised Geneva score, and the simplified Geneva score (Wicki et al., 2001).
The original Geneva score ranges from zero to 16, classifies patients into high, intermediate, or low risk, and is based on several factors (Hacking, 2021).
Age:
VTE history = 2 points
Surgery within a month = 3 points
Heart rate higher than 100 bpm = 1 point
The partial pressure of CO2 in arterial blood:
The partial pressure of O2 in arterial blood:
CXR findings:
| Probability | Points |
|---|---|
| Low | < 5 |
| Intermediate | 5-8 |
| High | > 8 |
| (Hacking, 2021) | |
The revised Geneva score eliminates the CXR and ABG categories.
| Factor | Points |
|---|---|
| > 65 years | 1 |
| VTE history | 3 |
| Surgery/fracture history within a month | 2 |
| Active malignancy | 2 |
| Unilateral lower extremity pain | 3 |
| Pain on deep vein palpation and edema | 4 |
| Hemoptysis | 2 |
| Heart rate: 75-94 bpm | 3 |
| Heart rate: > 94 bmp | 5 |
| (Hacking, 2021) | |
The score is then tallied, and the probability is determined. Probability categories include the following (Hacking, 2021):
| Factor | Points |
|---|---|
| ≥ 40 years old | 1 |
| VTE history | 3 |
| Surgery/lower limb fracture within a month | 2 |
| Unilateral lower limb pain | 3 |
| Hemoptysis | 2 |
| Heart rate ≥ 110 bpm | 5 |
| Pain on deep vein palpation and edema | 4 |
| (Robert-Ebadi et al., 2021) | |
Each scale is easy to use and compute and can detect PE.
Treatment of PE depends on the severity of the situation. The primary goal is to stabilize the patient and maintain oxygen levels. Hemodynamic stability should be assessed, and treatment should occur based on the patient's needs.
When oxygen saturation (SaO2) is less than 90%, supplemental oxygen is necessary. Depending on the patient's status, nasal cannulas, face masks, or a nonrebreather can be used. If these mechanisms are unsuccessful, a high-flow nasal cannula can be used, or mechanical ventilation can be initiated (Pérez-Nieto et al., 2023).
If hemodynamically unstable and experiencing hypotension, the patient may be given IV fluids. However, this could worsen symptoms for patients with right ventricular dysfunction (Konstantinides et al., 2014).
It is often necessary for patients to receive inotropes and vasopressors. The three most common medications used include epinephrine, norepinephrine, and dopamine. These medications should increase right ventricular function and mean arterial pressure while maintaining pulmonary vascular resistance. When administering these medications to patients, it is pertinent to observe for worsening hypotension (Sekhri et al., 2012).
At times and often with massive PE, patients become unstable due to the size and movement of the clot, and rapid action is necessary to prevent death from occurring. Thrombolytic therapy is often used when time is of the essence. However, there are contraindications to using thrombolytics.
Relative contraindications include the following (Ucar, 2019):
The most common thrombolytics used include recombinant tissue plasminogen activator or rt-PA or alteplase, urokinase, and streptokinase.
Alteplase, or rt-PA, a fibrinolytic agent, converts plasminogen to plasmin, lysing fibrin and fibrinogen. This medication is available in 50 and 100-mg vials but must be reconstituted before administration. The initial half-life is fewer than five minutes.
For PE, the recommended administration is 100 mg infused over two hours. Anticoagulation via a parenteral route should be started immediately following the infusion when the partial thromboplastin or thrombin time is lower than twice normal (Reed et al., 2023).
Urokinase is another thrombolytic agent used for lysis of PE, often when patients are hemodynamically unstable. The initial dose is 4400 international units (IU) per kilogram (kg) over 10 minutes, given at a rate of 90 mL per hour. The recommended maintenance dose is 2200-4400 IU/kg over 12 hours at 15 mL per hour (Ucar, 2019).
Streptokinase is no longer commercially available in the United States, but generic versions and derivatives of it may still be used. This medication causes an ongoing thrombolytic state, sometimes lasting up to 48 hours. The loading dose is 250,000 IU over 30 minutes. The maintenance dose is 100,000 IU per hour for 24 hours (Edwards & Nagalli, 2023).
Anticoagulants are another type of medication used to treat and prevent PE. Initially, they are often used for the first week to a week and a half after the event. In the long term, they can be used for three to six months to prevent PE reoccurrence. However, it is not uncommon to see anticoagulants being used for over six months (Agnelli & Becattini, 2015).
Different types of anticoagulants can be used for patients with PE, such as IV or injectable and oral forms.
Heparin: This medication activates antithrombin and works to inhibit clotting. Contraindications include active and uncontrollable bleeding when the platelet count is lower than 100,000 per microliter or the patient has a history of heparin-induced thrombocytopenia (Warnock & Huang, 2023). There are two commonly used types of heparin.
Dalteparin, or Fragmin, comes in 2,500 - 25,000 IU prefilled syringes. Therapeutically, it can be given as 100-200 units/kg bid. As a prophylactic measure, up to 5,000 IU per day can be given (Miesner & Trewet, 2012; Solari & Varacallo, 2023).
A synthetic derivative of heparin is fondaparinux. It works over a long period and is not as strong as the other forms of heparin. It is often used for prevention rather than treatment of PE (Panahi et al., 2021).
Warfarin:
The maintenance dose is generally between two and 10 mg daily, depending on lab results (Mayo Clinic, 2023). The onset of action of warfarin is between one and three days, and the peak therapeutic effect is seen at days five to seven. Frequent monitoring is necessary with warfarin and is usually accomplished by reviewing the International Normalized Ratio or INR (Patel et al., 2023).
Patients should be educated that foods high in vitamin K, such as nuts and green vegetables, may inhibit the efficacy of warfarin (Panahi et al., 2021).
Direct oral anticoagulants: Direct oral anticoagulants (DOACs) are a popular alternative for preventing and treating PE.
This list is not all-inclusive; many other medications, such as aspirin, are used to prevent PE, and many others are used for treatment, maintenance, and long-term prevention.
Various surgical procedures can be used to treat PE.
A catheter embolectomy is more minimally invasive than a surgical embolectomy. However, a surgical embolectomy may be necessary to free the clot. With a catheter embolectomy, a catheter is inserted into a small incision that has been made and placed into the vessel where the clot is. Imaging is used to ensure the placement is correct. A catheter is used to aspirate out the clot and restore blood flow. After clot removal, the catheter is removed, and dressings are placed (Cleveland Clinic, 2022a).
A surgical embolectomy is a more invasive procedure. It is often used when there are contraindications to anticoagulation, the patient is or is likely to experience shock that may cause death, or the catheter embolectomy failed (Fukuda & Daitoku, 2017). A sternotomy, where a vertical incision is created, allows access. Then, an incision is made into the pulmonary artery and potentially the branches. Once the clot is identified, it is extracted using suction catheters and forceps (Kim, 2022).

Balloon Angioplasty
For both of these filters, a small incision is made, and a thin tube is threaded into the vein and the area of the vena cava that is needed. A collapsed filter sent in with the catheter is left in place. The catheter is removed, and the filter, once expanded, attaches itself to the vena cava's walls (Johns Hopkins Medicine, n.d.).
There are complications associated with PE; major complications include chronic thromboembolic pulmonary hypertension (CTEPH), cardiogenic shock, right-sided heart failure, and reoccurring PE.
Cardiogenic shock from PE also has a high mortality rate. Blood flow is impeded when the clot is obstructed in the pulmonary arteries. The right ventricle experiences volume overload, potentially leading to failure, and the left ventricle experiences a reduction in filling volume (Bangalore et al., 2023). Cardiogenic shock and right-sided heart failure can progress to cardiac arrest if not treated promptly.
Recurrent PE is more likely to occur within the first two weeks after diagnosis. The risk increases when patients are not on an anticoagulant regimen that is strong enough or correct for the situation or there is poor medication adherence (Vyas & Goyal, 2022).
When untreated, PE can cause fatalities in up to 30% of patients. Anticoagulation treatment decreases the mortality rate significantly (Weinberg & Rali, 2023).
Besides maintenance medication for prevention, there are other measures patients can use to prevent PE.
Prevention measures may also be used when patients are traveling, such as for long hours in a car or plane. Additional steps to take when traveling include moving ankles and toes every 30 minutes and moving around the cabin of the plane every hour if possible (Mayo Clinic, 2022).
After a PE diagnosis, patients should be monitored closely. How often monitoring should occur depends on the patient's overall health status, severity of the diagnosis, and medication regimen. Typically, follow-up visits should be scheduled for two weeks to three months out, and a new plan should be devised from there (Rivera-Lebron et al., 2019).
Scenario/situation/patient description
Andrew is a 45-year-old male who presents to the emergency department with complaints of chest pain, cough, and acute dyspnea. His past medical history includes hypertension, obesity, and melanoma, for which he is currently being treated.
Clinically, the patient presents with unstable vital signs that include the following:
A physical exam was completed, and no murmurs, adventitious breath sounds, or lower extremity edema were noted. An EKG was performed, and sinus tachycardia was evident. Pulmonary angiography was performed and denoted a saddle PE across both pulmonary arteries with evidence of right-sided heart strain.
Intervention/strategies
Oxygen therapy was initiated.
Mechanical thrombectomy, specifically a catheter-directed thrombectomy, was performed successfully. Anticoagulant therapy was also initiated. The patient was hospitalized for several days.
Follow-up was scheduled for four weeks after discharge from the hospital.
Discussion of outcomes
Based on the symptoms and clinical presentation, the healthcare provider could recognize the severity of the situation. After confirmation of the diagnosis by pulmonary angiography, the healthcare provider also knew the patient would be considered hemodynamically unstable, and immediate action was necessary.
Strengths and weaknesses of the approach used in the case
The healthcare provider performed the steps necessary to make an accurate diagnosis. The saddle PE may have been missed if the healthcare provider did not perform diagnostics. If the healthcare provider did not prescribe the right anticoagulants or did not perform the right procedure, the risk of mortality significantly increases.
A PE can be a deadly diagnosis if not identified and treated promptly. Patients should be aware of the risk factors of PE. Healthcare providers should recognize the signs and symptoms of PE to diagnose and treat the condition accurately. Chosen interventions and the prognosis depend on the type of PE, such as saddle PE, and whether the patient is hemodynamically unstable. Understanding the pathophysiology of PE can help providers with risk-stratifying measures to prevent the occurrence and reoccurrence of PE.
CEUFast, Inc. is committed to furthering diversity, equity, and inclusion (DEI). While reflecting on this course content, CEUFast, Inc. would like you to consider your individual perspective and question your own biases. Remember, implicit bias is a form of bias that impacts our practice as healthcare professionals. Implicit bias occurs when we have automatic prejudices, judgments, and/or a general attitude towards a person or a group of people based on associated stereotypes we have formed over time. These automatic thoughts occur without our conscious knowledge and without our intentional desire to discriminate. The concern with implicit bias is that this can impact our actions and decisions with our workplace leadership, colleagues, and even our patients. While it is our universal goal to treat everyone equally, our implicit biases can influence our interactions, assessments, communication, prioritization, and decision-making concerning patients, which can ultimately adversely impact health outcomes. It is important to keep this in mind in order to intentionally work to self-identify our own risk areas where our implicit biases might influence our behaviors. Together, we can cease perpetuating stereotypes and remind each other to remain mindful to help avoid reacting according to biases that are contrary to our conscious beliefs and values.