≥ 92% of participants will know how to assess, manage, and provide care for pneumothorax in adult patients.

CEUFast, Inc. is accredited as a provider of nursing continuing professional development by the American Nurses Credentialing Center's Commission on Accreditation. ANCC Provider number #P0274.
≥ 92% of participants will know how to assess, manage, and provide care for pneumothorax in adult patients.
Upon completion of this course, the participant will be able to:
Meet Mr. Jamison, a 45-year-old male with a history of smoking and chronic obstructive pulmonary disease (COPD). He presents to the emergency department after a day of work with a sudden onset of sharp chest pain and difficulty breathing.
Upon assessment, Mr. Jamison appears anxious and is in respiratory distress. His respiratory rate has increased to more than twenty breaths per minute, and he has decreased breath sounds on the right side of his chest. His oxygen saturation is 88% on room air. A chest X-ray is ordered, which reveals a large right-sided pneumothorax with mediastinal shift.
The healthcare team quickly initiates interventions to stabilize Mr. Jamison's condition. They provide supplemental oxygen via a non-rebreather mask and establish intravenous access for fluid resuscitation and pain management. A chest tube is inserted on the affected side to evacuate the air from the pleural space and re-expand the collapsed lung.
Over the next 24 hours, Mr. Jamison's respiratory distress improves, and his oxygen saturation increases to 95% on room air. The healthcare team closely monitors his vital signs, respiratory status, and chest tube drainage. They administer analgesics to manage his pain and provide education on the importance of deep breathing and early mobilization.
Mr. Jamison's chest X-ray is repeated after 48 hours, showing re-expansion of the lung and resolution of the pneumothorax. The chest tube is subsequently removed, and Mr. Jamison is discharged with instructions for follow-up care and smoking cessation support.
Had the X-ray not been completed, the pneumothorax may have been missed, leading to the patient's condition deteriorating. Because no other trauma was involved, such as in the case of a car accident or penetrating trauma, the healthcare provider can possibly take more conservative approaches, such as avoiding surgery.
In the first part of this course, we will dive into the world of the respiratory system. We will explore the anatomy and physiology, and learn about the different structures involved in breathing and how they work together. This will be a great foundation for understanding pneumothoraces. Let's begin.
The respiratory system is an amazing network of organs that allows us to breathe; it includes the nose, mouth, throat, trachea, and lungs. When we inhale, air enters through the nose or mouth and travels down the throat and into the trachea.
When a person has a pneumothorax, it means that there is air in their pleural space or between the lung and the chest wall; this disrupts the normal functioning of the respiratory system. The presence of air in the pleural space can cause the lung to collapse partially or completely; this is considered a pneumothorax and can result in symptoms such as chest pain, shortness of breath, and a rapid heart rate (McKnight & Burns, 2023).

Anatomy of the Lungs
There are a few different types of pneumothorax, each with its own underlying causes. Here are the four main types (Sankari & Gupta, 2025):
As healthcare professionals, it is important to be aware of the signs and symptoms of pneumothorax.
Other signs and symptoms that may be seen in pneumothorax include asymmetrical lung expansion and a hyperresonant percussion note.
In a tension pneumothorax, more serious symptoms may be seen and include jugular venous distension, low blood pressure, respiratory failure, and eventual cardiac arrest (McKnight & Burns, 2023).
It is important to note that the severity of symptoms can vary depending on the type and extent of the pneumothorax. Prompt recognition and appropriate management are crucial in ensuring the best outcomes for these patients.
Healthcare professionals may utilize various diagnostic tools and techniques to confirm a suspected pneumothorax. The first is a physical assessment. Thorough physical assessment, including auscultation of all lung fields, can provide valuable information. Auscultation of breath sounds can help identify a decrease in or absence of breath sounds on the affected side, which may indicate pneumothorax.
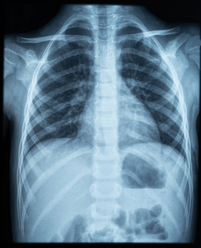
The first radiologic tool is a chest X-ray.

Chest X-ray
Another radiologic tool is a computerized tomography (CT) scan. CT scans may be ordered to obtain a more detailed image of the chest. CT scans can provide a clearer visualization of the pneumothorax and help identify any underlying disease and abnormality. The study by Burger et al. (2023) shows the importance of getting advanced imaging; this study presented a 13-month-old patient with what seemed to be a spontaneous pneumothorax, but after a CT a multilocular cystic lesion was found in the left hemithorax region.
The next radiologic tool is ultrasound. Ultrasound imaging can be used to detect the presence of pneumothorax at the bedside; it involves using sound waves to create real-time images of the chest and can be particularly useful in emergencies (Bouillon-Minoise et al., 2025). The last diagnostic tool is arterial blood gases (ABG).
Understanding the potential complications and risks associated with pneumothorax is essential. Most pneumothoraces can be managed effectively, but there are potential complications to be aware of. One such complication is tension pneumothorax, where air continuously enters the pleural space and cannot escape, causing increased pressure on the affected lung and potentially leading to cardiovascular compromise.
Let's talk about the treatment options for pneumothorax. The approach to treating pneumothorax depends on the severity and underlying cause. Here are some common treatment options in descending order, with the conservative treatment plan listed first:

Chest Tube

Chest Tube from a Different Angle
The choice of treatment depends on factors such as the size of the pneumothorax, the patient's symptoms, and underlying health conditions. It is important to assess each case individually and determine the most appropriate treatment approach.
| Pigtail Drainage | Chest Tube Drainage | |
|---|---|---|
| Indications | Non-coagulable and non-viscid drainage | Thick, viscid, coagulable drainage |
| Size | 12-14 French (Fr) | 28-40 Fr |
| Advantages | Simple, quick, small, less painful | Less kinking and clogging, less obstruction, acceptable for post-traumatic drainage, the ability for increased flow |
| Disadvantages | More kinking, obstructions, and clogging, more thrombogenic, less flow because it's smaller in size, requires an ultrasound | Painful insertion with increased tissue disruption and larger insertion hole, more bleeding with possible injury to adjacent tissue, displacement/dislodgment, local infection |
| (Elsayed et al., 2018) | ||
Healthcare providers have a critical role in patients with pneumothorax. There are several key interventions to consider, and here are a few of them, starting with monitoring respiratory status. Regularly assess the patient's respiratory rate, oxygen saturation, and breath sounds while observing for signs of respiratory distress such as increased work of breathing or decreased oxygen levels. Another key intervention is positioning. Assist the patient in finding a comfortable position that promotes optimal lung expansion; this may include elevating the head of the bed or supporting the affected side to facilitate lung re-expansion. Oxygen therapy is another intervention. Administer supplemental oxygen as prescribed to maintain adequate oxygenation, monitor oxygen saturation levels, and adjust the oxygen flow as needed (McKnight & Burns, 2023). Pain management is also an essential intervention. Assess and manage the patient's pain related to pneumothorax, including administering analgesics as prescribed and using non-pharmacological pain relief strategies, such as positioning and relaxation techniques. Caring for the chest tube should also be performed.
Individualized care is crucial, so tailor your interventions based on patient-specific needs or conditions. Regular assessments, effective communication, and patient education play a vital role in promoting positive outcomes.
Interprofessional collaboration is important in managing pneumothoraces. It involves healthcare professionals from different disciplines working together to provide comprehensive care. Here's why it matters:
Treatment planning- different professionals bring their unique expertise to the table. For example, nurses assist with patient assessment and monitoring, respiratory therapists provide respiratory support and manage oxygen therapy, physical therapists ensure early mobilization, and physicians make treatment decisions and perform procedures like chest tube insertion if needed. Collaboration ensures a well-rounded treatment plan.
Continuity of care- collaboration ensures continuity of care as patients move through different stages of treatment and recovery. Healthcare professionals work together to provide consistent and coordinated care, preventing gaps in care and promoting positive patient outcomes.
Patient-centered care- interprofessional collaboration places the patient at the center of the care. By working together, healthcare professionals can address the patient's individual needs, preferences, and goals, providing holistic care that considers all aspects of their well-being.
Pneumothorax management has seen some exciting advancements in recent years. Here are the top five notable research findings and their advancements.
Remember, these advancements are constantly evolving and ongoing. Research continues to shape the field of pneumothorax management. It's always exciting to see how medical science is progressing to improve patient outcomes.
A pneumothorax is a serious and sometimes life-threatening condition that healthcare providers should be aware of and understand how to effectively manage to provide the patient with the best optimal outcomes. The respiratory system is an important body system; when it is affected, other systems, such as the cardiac system, can suffer. Symptoms of pneumothorax are usually apparent; however, diagnostics should be run to ensure there are no other issues, especially if the patient has a pneumothorax due to trauma. X-rays, CT scans, and ultrasounds are all viable options. Depending on the severity of the pneumothorax, there are various treatment options. It is important for healthcare professionals to determine the best possible treatment options for their patients, from observation and oxygenation to invasive surgical procedures. Throughout the patient's journey with this condition, it is pertinent that healthcare providers collaborate with each other, such as respiratory therapists, to ensure the patient receives optimal care.
CEUFast, Inc. is committed to furthering diversity, equity, and inclusion (DEI). While reflecting on this course content, CEUFast, Inc. would like you to consider your individual perspective and question your own biases. Remember, implicit bias is a form of bias that impacts our practice as healthcare professionals. Implicit bias occurs when we have automatic prejudices, judgments, and/or a general attitude towards a person or a group of people based on associated stereotypes we have formed over time. These automatic thoughts occur without our conscious knowledge and without our intentional desire to discriminate. The concern with implicit bias is that this can impact our actions and decisions with our workplace leadership, colleagues, and even our patients. While it is our universal goal to treat everyone equally, our implicit biases can influence our interactions, assessments, communication, prioritization, and decision-making concerning patients, which can ultimately adversely impact health outcomes. It is important to keep this in mind in order to intentionally work to self-identify our own risk areas where our implicit biases might influence our behaviors. Together, we can cease perpetuating stereotypes and remind each other to remain mindful to help avoid reacting according to biases that are contrary to our conscious beliefs and values.